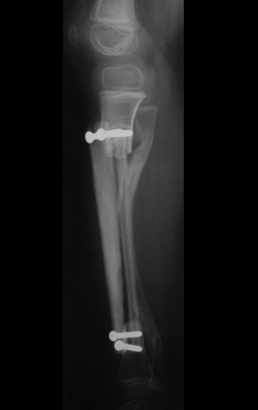
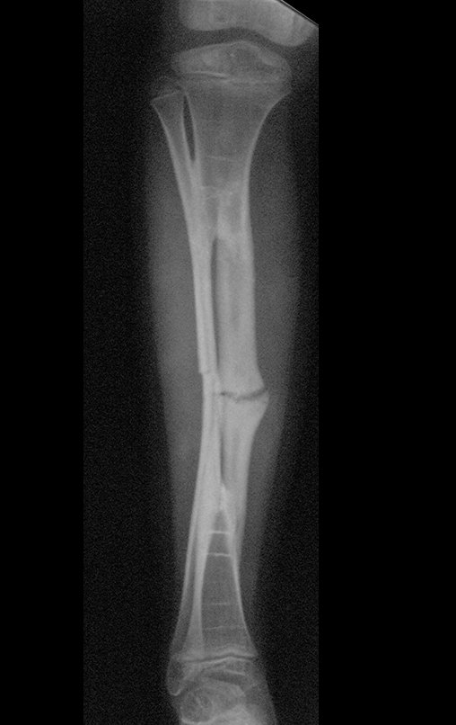
Osteofibrodysplasia – Fibula tibialization technique – Combined autologous and homologous graft reconstruction technique
The erythematous process is occurring only where there is contact with the orthosis lining. Allergy?
Allergy!!! The patient was allergic to the orthosis covering. Allergy to EVA (Ethylene Vinyl Acetate).
Talking to her mother, she remembered that the child’s buttocks were full of red spots when he played on the rubberized mat. Together with the father, we removed all the EVA lining from the orthosis, covered it with a cloth diaper and administered antihistamines, which resolved the problem.
Peace reigned again that Saturday, 02/27/2010. Please note that the band allergic reaction only occurs upon contact with EVA
The patient returns to the office six weeks after surgery, figures 100 to 102 and video 1
Author: Prof. Dr. Pedro Péricles Ribeiro Baptista
Orthopedic Oncosurgery at the Dr. Arnaldo Vieira de Carvalho Cancer Institute
Office : Rua General Jardim, 846 – Cj 41 – Cep: 01223-010 Higienópolis São Paulo – SP
Phone: +55 11 3231-4638 Cell:+55 11 99863-5577 Email: drpprb@gmail.com

