Ewing sarcoma of the humerus in children. A four-year-old and five-month-old patient presented with pain and a tumor in the left humerus in January 1991. The biopsy revealed Ewing’s sarcoma. Staging did not reveal another focus. He underwent treatment with neoadjuvant chemotherapy, showing a good radiographic response to treatment, with mineralization of the lesion and angular deformity due to neoplastic plasticity, figures 1 to 4.
Ewing sarcoma of the humerus in a child – Management – Resection and reconstruction techniques with special plate – Combined autologous fibula and iliac graft
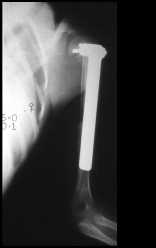
The control radiograph one month postoperatively and the function of the operated limb are shown in figures 11 to 14.
Video 1: Good aesthetics, despite shortening, good function, 22 years after surgery, on 01/11/2012.
As figuras 37 a 42, ilustram etapas da evolução deste caso de Sarcoma de Ewing, tratado cirurgicamente com uma solução biológica.
In May 2015, the patient had her first child, giving birth to a boy. In 1991, we had not yet performed autotransplantation of growth cartilage, reconstructing this segment with a vascularized fibula with the growth plate, to replace the humerus plate, which when resected. However, the upper limb better accepts the length discrepancy, crowning the alternative we used at the time.
Author: Prof. Dr. Pedro Péricles Ribeiro Baptista
Orthopedic Oncosurgery at the Dr. Arnaldo Vieira de Carvalho Cancer Institute
Office : Rua General Jardim, 846 – Cj 41 – Cep: 01223-010 Higienópolis São Paulo – SP
Phone: +55 11 3231-4638 Cell:+55 11 99863-5577 Email: drpprb@gmail.com

