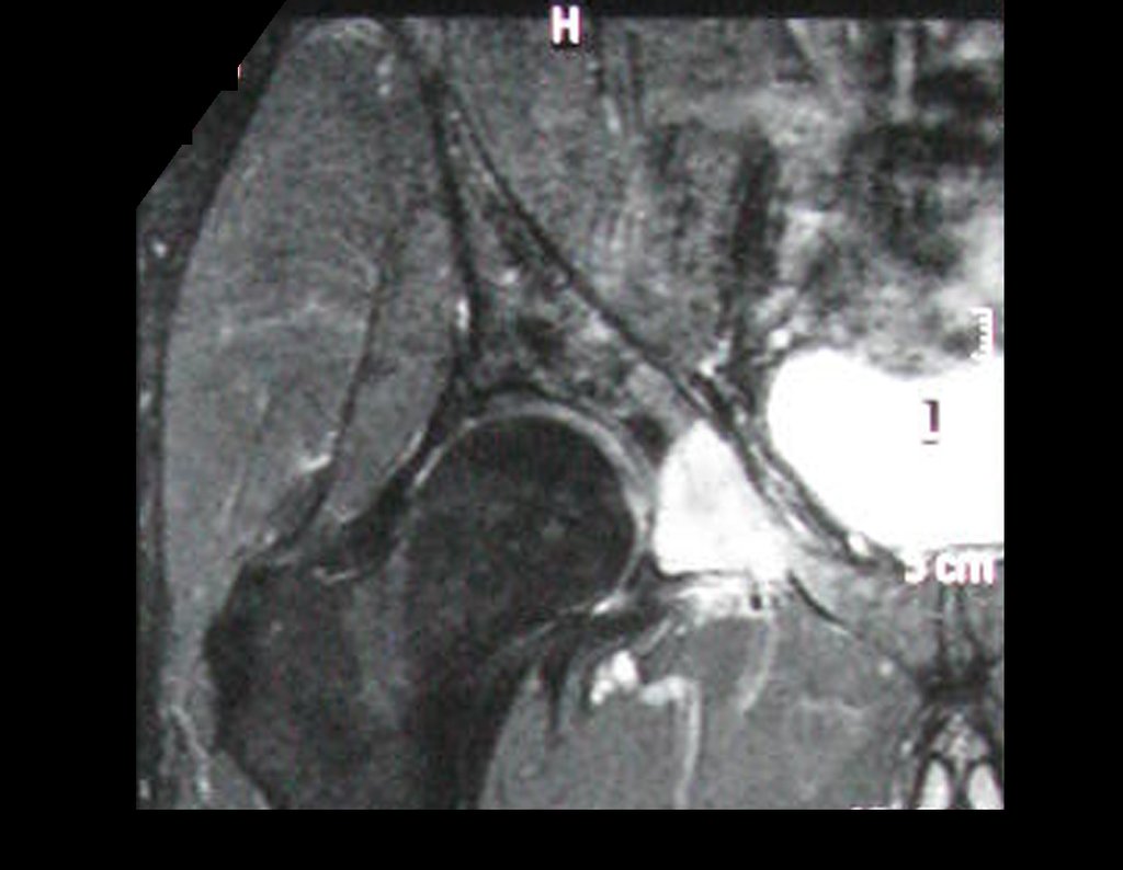
Bone Metastasis of Hypernephroma - (Kidney Cancer)
Kidney Cancer Metastasis. Hypernephroma bone metastasis, also known as metastatic kidney cancer to the bone, is a serious complication of kidney cancer. Hypernephroma, or renal cell carcinoma, is a common form of cancer that originates in the kidneys. When bone metastasis occurs, cancer cells spread from the kidneys to the bones, potentially affecting several areas of the skeleton.
This spread of cancer to the bones can cause a series of symptoms, such as persistent bone pain, pathological fractures and impaired mobility. Furthermore, bone metastasis from hypernephroma can lead to serious complications such as spinal cord compression that require immediate medical intervention.
Treatment of bone metastasis from hypernephroma generally involves a multidisciplinary approach, including surgery, radiotherapy, targeted therapy, and/or immunotherapy. The aim of treatment is to control the spread of cancer, alleviate symptoms and improve the patient’s quality of life.
However, bone metastasis from hypernephroma is often a challenging condition to treat and can have a significant impact on patient survival and prognosis. Therefore, a careful and coordinated approach between a specialized medical team is essential to provide the best possible care and ensure the patient’s well-being.
Case Author
Author: Prof. Dr. Pedro Péricles Ribeiro Baptista
Orthopedic Oncosurgery at the Dr. Arnaldo Vieira de Carvalho Cancer Institute
Office : Rua General Jardim, 846 – Cj 41 – Cep: 01223-010 Higienópolis São Paulo – SP
Phone: +55 11 3231-4638 Cell:+55 11 99863-5577 Email: drpprb@gmail.com
