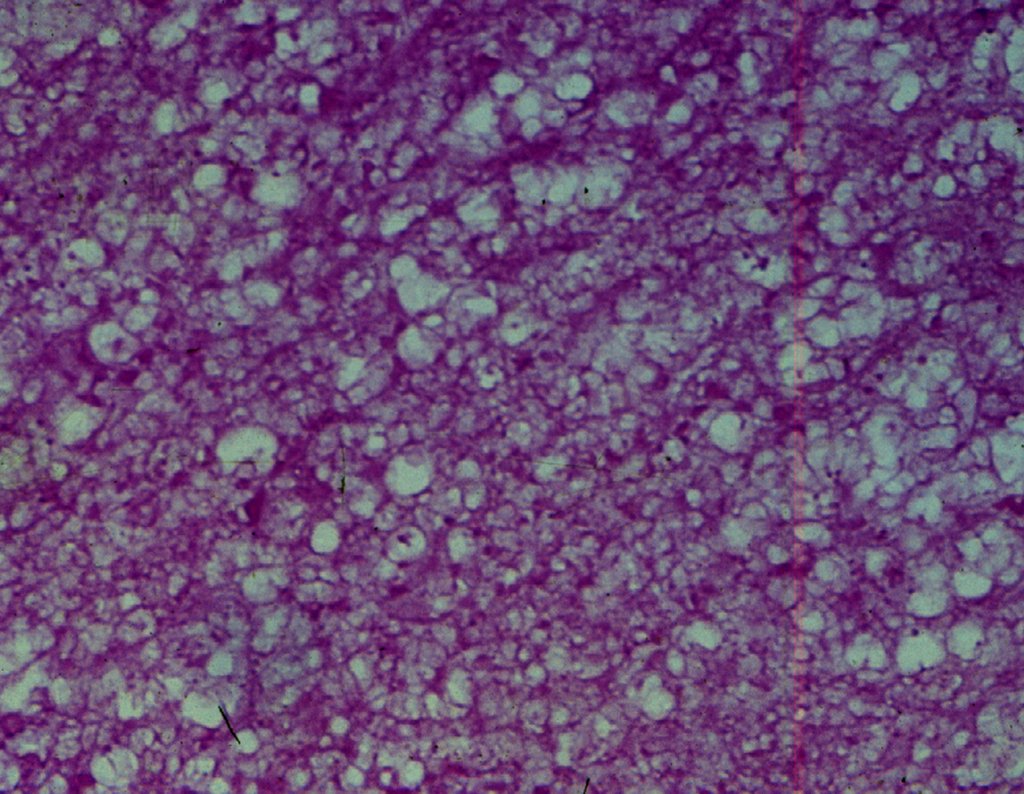
Internal pelvectomy technique in children - Ewing sarcoma of the pelvis Management
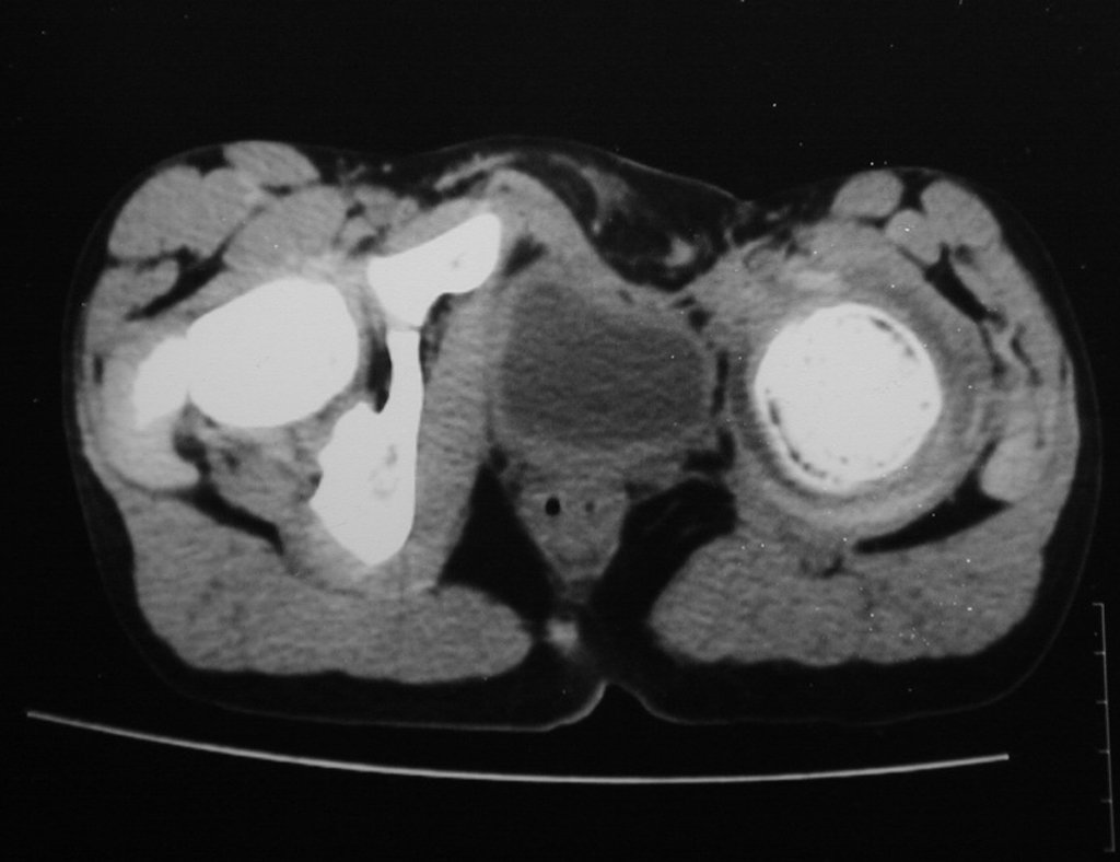
Foram realizados os exames para estadiamento sistêmico, que não demonstraram outro sítio de neoplasia (Figuras 5 à 7).
Although Ewing’s sarcoma responds to radiotherapy according to the literature, we prefer to perform tumor resection whenever possible. We observed that medium and long-term results are better when the lesion is surgically removed. In this case, with the good radiographic response to neo-adjuvant chemotherapy, we indicated the surgical treatment of partial pelvectomy, without reconstruction.
The patient underwent surgery to resect the obturator ring, comprising the ischium and pubic bones on the left side, through the Y- shaped cartilage of the pelvis, in October 1998 , Figures 20 to 29.
Avaliação de Junho de 2011, após treze anos de pós operatório.
Case Author
Author: Prof. Dr. Pedro Péricles Ribeiro Baptista
Orthopedic Oncosurgery at the Dr. Arnaldo Vieira de Carvalho Cancer Institute
Office : Rua General Jardim, 846 – Cj 41 – Cep: 01223-010 Higienópolis São Paulo – SP
Phone: +55 11 3231-4638 Cell:+55 11 99863-5577 Email: drpprb@gmail.com
